症例集

当院で歯列矯正された患者さまの症例集

こどもから成人まで、さまざまな歯並びの
治療経過をご覧いただけます。

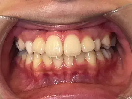
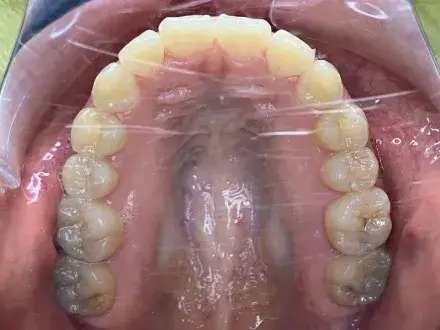
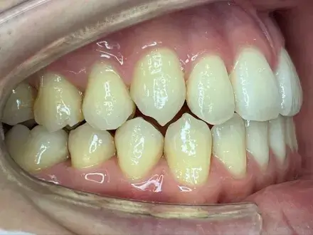
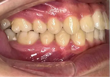
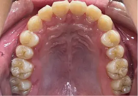
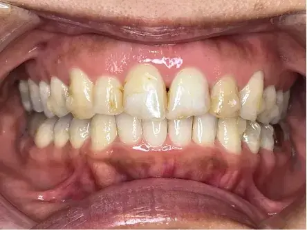
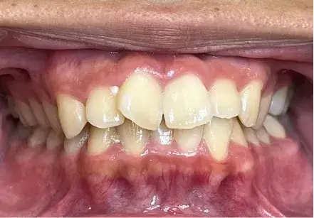
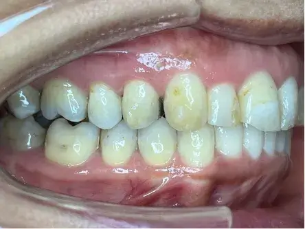
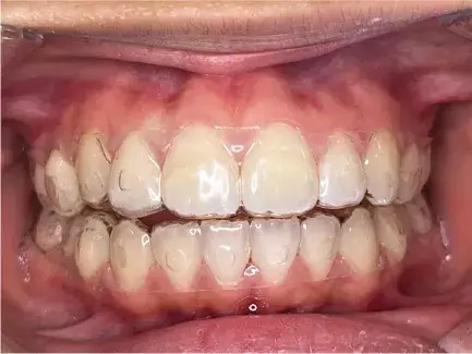
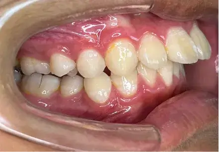
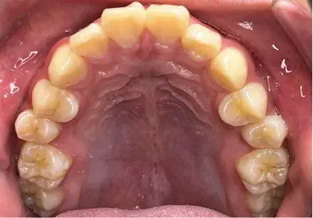
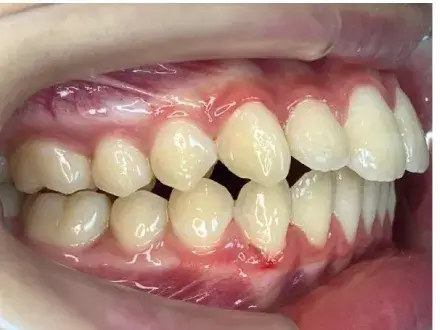
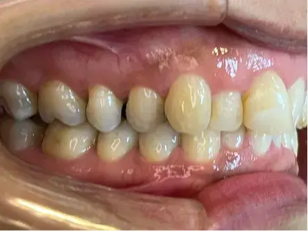
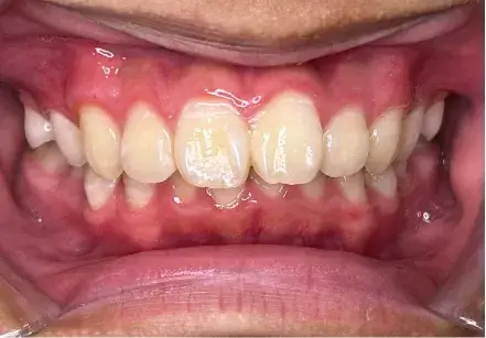
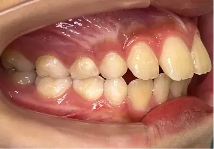
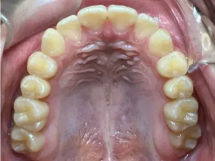
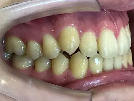
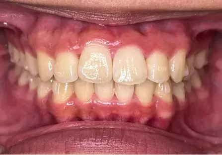
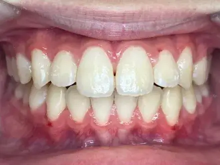
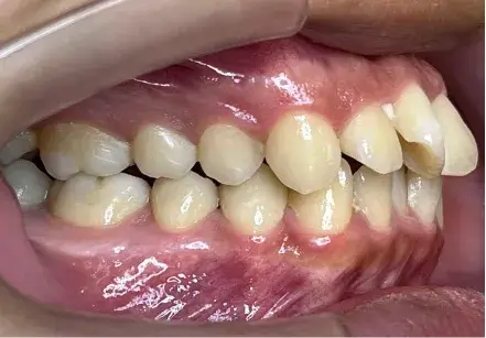
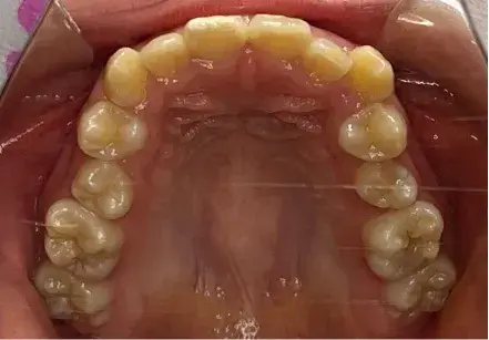
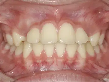
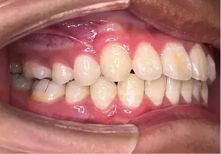
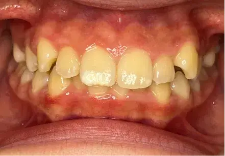
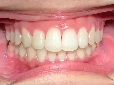
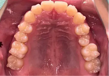
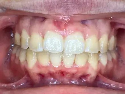
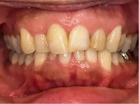
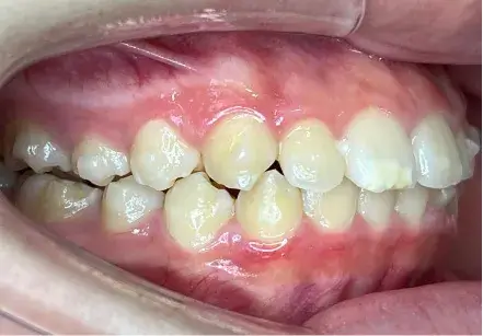
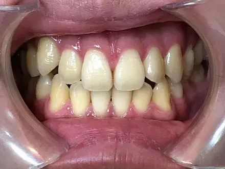
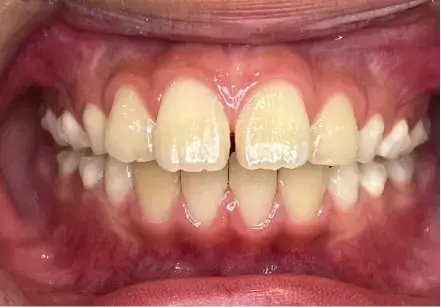
叢生の症例

14歳

女性

相談内容

6年前から上下拡大床を使って矯正を他院で行っていたがセカンドオピニオンで来院

カウンセリング・診断結果

叢生・下前歯が内側に傾斜している。アレルギーが多く、常に口があいているので耳鼻科受診を勧め、同時に口腔機能改善トレーニングを行う。

治療内容・方法

全額アライナー矯正

術後の経過・現在の様子

クリアライナー使用

治療のリスク

痛み・歯根吸収・歯肉退縮・虫歯・後戻り

治療費用・治療期間

880,000円、1年3ヶ月

トレーニングなど

Before

After

Before

After

Before

After

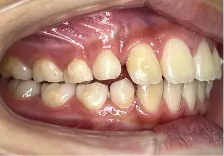
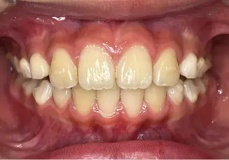
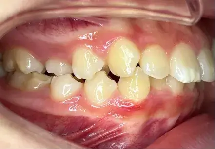
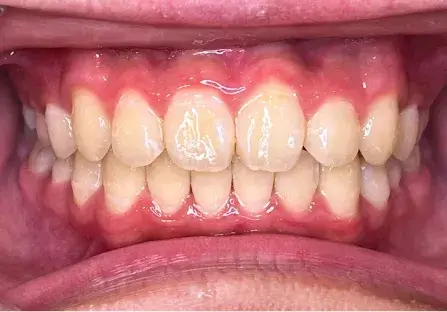
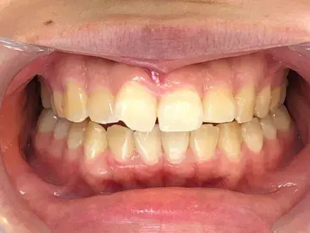
叢生、過蓋咬合の症例

11歳

男性

相談内容

前歯が噛み合っていない・歯が重なっている

カウンセリング・診断結果

叢生、過蓋咬合・嚥下の異常な癖・アデノイド手術済み

治療内容・方法

全額アライナー矯正

術後の経過・現在の様子

クリアライナー使用

治療のリスク

痛み・歯根吸収・歯肉退縮・虫歯・後戻り

治療費用・治療期間

880,000円、10ヶ月

トレーニングなど

Before

After

Before

After

Before

After

前歯前突の症例

14歳

女性

相談内容

前歯が少し出ている感じがする。真ん中があいている。

カウンセリング・診断結果

前突・永久歯列なのでアライナー矯正から始める。

治療内容・方法

全額アライナー矯正

術後の経過・現在の様子

クリアライナー使用

治療のリスク

痛み・歯根吸収・歯肉退縮・虫歯・後戻り

治療費用・治療期間

880,000円、1年5ヶ月

トレーニングなど

Before

After

Before

After

Before

After

空隙歯列の症例

13歳

女性

相談内容

上の前歯(隙間)を閉じたい

カウンセリング・診断結果

噛み合わせが2級傾向なので、全体の矯正治療が必要。igoより期間は長くなる

治療内容・方法

全額アライナー矯正

術後の経過・現在の様子

Fixの使用

治療のリスク

痛み・歯根吸収・歯肉退縮・虫歯・後戻り

治療費用・治療期間

880,000円、2年

トレーニングなど

Before

After

Before

After

Before

After

叢生の症例

12歳

女性

相談内容

前歯が傾いている・下の歯がガタガタしている

カウンセリング・診断結果

叢生・嚥下、頬と下唇の問題・拡大装置の必要

治療内容・方法

全額アライナー矯正・拡大装置

術後の経過・現在の様子

クリアライナー使用

治療のリスク

痛み・歯根吸収・歯肉退縮・虫歯・後戻り

治療費用・治療期間

880,000円、9ヶ月

トレーニングなど

Before

After

Before

After

Before

After

叢生、交又咬合の症例

12歳

男性

相談内容

上の前歯がガタガタしていて気になる

カウンセリング・診断結果

叢生、クロスバイト・顎が狭く並び切っていない、頬と下唇の力が強く顎の成長が抑制されている

治療内容・方法

全額アライナー矯正

術後の経過・現在の様子

クリアライナー使用

治療のリスク

痛み・歯根吸収・歯肉退縮・虫歯・後戻り

治療費用・治療期間

880,000円、8ヶ月

トレーニングなど

Before

After

Before

After

Before

After

叢生、過蓋咬合の症例

12歳

男性

相談内容

前歯が出ている・前歯が噛み合っていないことが気になる

カウンセリング・診断結果

叢生、過蓋咬合・顎を拡大してアライナー矯正を行う。同時に口腔機能改善。

治療内容・方法

全額アライナー矯正・顎の拡大

術後の経過・現在の様子

クリアライナー使用

治療のリスク

痛み・歯根吸収・歯肉退縮・虫歯・後戻り

治療費用・治療期間

880,000円、1年3ヶ月

トレーニングなど

Before

After

Before

After

Before

After

叢生、前突の症例

12歳

男性

相談内容

上前歯の出っ張り・歯が重なっている

カウンセリング・診断結果

叢生、前突・口腔機能トレーニング+拡大装置ですぐ始める。拡大終了&永久歯が生え揃ったらアライナー矯正を開始

治療内容・方法

全額アライナー矯正・顎の拡大

術後の経過・現在の様子

クリアライナー使用

治療のリスク

痛み・歯根吸収・歯肉退縮・虫歯・後戻り

治療費用・治療期間

880,000円、1年11ヶ月

トレーニングなど

Before

After

Before

After

Before

After

開咬、叢生の症例

16歳

女性

相談内容

前歯が噛めていない・歯の重なり

カウンセリング・診断結果

開口、叢生・アレルギーなしIP・R、アタッチメント承諾・抜歯なるべくやりたくない

治療内容・方法

全額アライナー矯正

術後の経過・現在の様子

クリアライナー使用

治療のリスク

痛み・歯根吸収・歯肉退縮・虫歯・後戻り

治療費用・治療期間

880,000円、1年7ヶ月

トレーニングなど

Before

After

Before

After

Before

After

叢生の症例

23歳

女性

相談内容

八重歯が出ているのが気になる

カウンセリング・診断結果

叢生・アレルギーなしI・PR、アタッチメント承諾・抜歯なるべくやりたくない

治療内容・方法

全額アライナー矯正・右上c抜歯が必要

術後の経過・現在の様子

クリアライナー使用

治療のリスク

痛み・歯根吸収・歯肉退縮・虫歯・後戻り

治療費用・治療期間

880,000円、10ヶ月

トレーニングなど

Before

After

Before

After

Before

After

ピックアップ